+39 392 7706632 info@eliba.it
Eliba Italia
Contatti

  • Home page
  • Come funziona
  • Articoli
  • Il Team
Contatti
  1. Home
  2. Come funziona

Come funziona Eliba

Scopri il funzionamento di Eliba

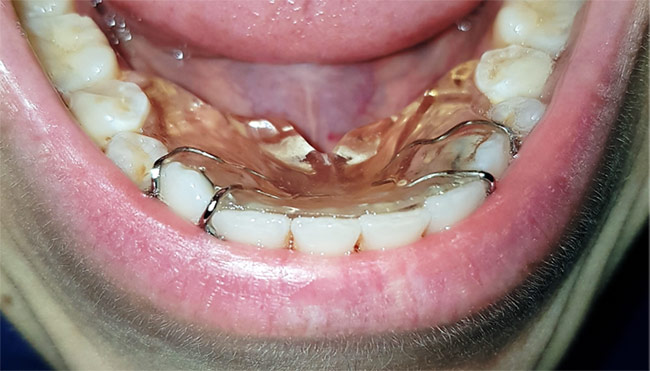
ELIBA è un dispositivo plurifunzionale di facile portabilità e di piccole dimensioni. Agisce nel cavo orale e alle strutture ad esso collegate, di conseguenza su tutto il sistema stomatognatico, coinvolgendo tutte le strutture correlate, donando beneficio a tutti i sistemi corporei del paziente. Per questo è in grado di alleviare numerose disfunzioni e patologie di normodotati e diversamente abili di ogni fascia di età.

Come funziona Eliba

Ripristino dei meccanismi di autoguarigione

Il cervello e il corpo sono uniti l'uno all'altro reciprocamente dai sistemi nervosi autonomi che innervano tutti i tessuti. Il nostro cervello ha la capacità di ricevere, elaborare e registrare questi segnali, ecco perché la stimolazione continua del dispositivo Eliba può cambiare le funzioni corporee alterate.

Miglioramento delle funzioni corporee

L'ELIBA è un dispositivo individuale non invasivo che occupa lo spazio sublinguale di chi lo indossa, stimolando il ripristino delle funzioni stomatognatiche e posturali in toto

Approccio olistico e non invasivo per il benessere della persona

L'ELIBA è un dispositivo plurifunzionale che stimola il ripristino di tutte le funzioni orali del paziente. Particolarmente efficace per le patologie indicate negli ambiti di applicazione , il dispositivo può essere applicato a pazienti di qualsivoglia fascia di età, sia normodotati che diversamente abili.

I benefici del dispositivo Eliba

L'Eliba agisce nel cavo orale, di conseguenza su tutte le interconnessioni neurologiche e tissutali dell'apparato stomatognatico del paziente. Si rivela particolarmente efficace in caso di: apnee notturne (OSAS), cervicalgie, cefalee muscolo tensive, disordini temporomandibolari, bruxismo, russamento, disfagia, ortodonzia e pedodonzia.

Con Eliba l'organismo ritrova il suo equilibrio


Riduce le apnee notturne, il bruxismo e il russamento

Eliba migliora la qualità del sonno, riducendo le apnee notturne, il bruxismo e il russamento.

Aiuta ad alleviare tensioni e dolori cervicali

Questo innovativo dispositivo contribuisce ad alleviare tensioni e dolori cervicali, promuovendo un benessere complessivo del sistema muscolo-scheletrico.

Ausilio nella Sindrome di Down ed il Morbo di Parkinson

Il dispositivo Eliba è un prezioso ausilio per individui affetti dalla Sindrome di Down e dal Morbo di Parkinson, contribuendo a migliorare la loro qualità di vita.

Eliba

ELIBA è un dispositivo plurifunzionale di facile portabilità e di piccole dimensioni.

Informazioni

Eliba Srl Società benefit
Via Luca Fancelli 5, 46100 Mantova (MN)
Iva: IT02678670205

link
  • Come funziona Eliba
  • Chi siamo
  • Il nostro ambulatorio
  • Contatti
  • T&C e Cookie policy
  • Certificazione Eliba
Nel mondo
it

In collaborazione con

Iapnor Academy

© 2023-2026 Copyright Eliba - Vietata la riproduzione in ogni forma e tramite ogni canale.